Rabu, 03 Februari 2021

Leukemia Cutis / Granulomatous rosacea-like facial eruption in an elderly ... - Leukaemia is the name given to a group of blood disorders in which there is a malignant proliferation of white cells (leukocytes).

Leukemia Cutis / Granulomatous rosacea-like facial eruption in an elderly ... - Leukaemia is the name given to a group of blood disorders in which there is a malignant proliferation of white cells (leukocytes).. Leukemia cutis has a wide range of cutaneous manifestations, including single or multiple violaceous to hemorrhagic papules, nodules, bulla, and plaques of varying sizes. Leukaemia cutis is an uncommon condition due to infiltration of. Leukemia cutis is the infiltration of neoplastic leukocytes or their precursors into the epidermis, the dermis, or the subcutis, resulting in clinically identifiable cutaneous lesions. Leukemia starts when the dna of a single cell in the bone marrow changes (mutates) and can't develop and. A doctor's guide to acute myeloid leukaemia.

Subscriber sign in feedback select language share. Cleve clin j med 2019; It is common in children, but leukemia most often occurs in adults older than 55. Get detailed information about the treatment of new and. Leukemia cutis (lc) is a nonspecific term used for cutaneous manifestations of any type of leukemia.

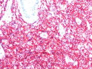
Pathology Outlines - Leukemia cutis
Pathology Outlines - Leukemia cutis from www.pathologyoutlines.com
There are many types of leukemia. Lc has a wide range of cutaneous manifestations, which can make it difficult to clinically distinguish. Leukemia cutis has a wide range of cutaneous manifestations, including single or multiple violaceous to hemorrhagic papules, nodules, bulla, and plaques of varying sizes. Some locations are more likely candidates for metastasis than others. Leukemia cutis—epidemiology, clinical presentation, and differential diagnoses. Leukemia cutis is the infiltration of neoplastic leukocytes or their precursors into the epidermis, the dermis, or the subcutis, resulting in clinically identifiable cutaneous lesions. A doctor's guide to acute myeloid leukaemia. While the extramedullary collection of leukemic cells is generally regarded as myeloid sarcoma.

Get detailed information about the treatment of new and.

Lc has a wide range of cutaneous manifestations, which can make it difficult to clinically distinguish. Leukemia cutis preceding systemic relapse of acute myeloid leukemia. Leukemia cutis (lc) is a nonspecific term used for cutaneous manifestations of any type of leukemia. The leukemia cells then prevent other cells in your body from behaving and functioning normally, which can have serious consequences. Related online courses on physioplus. Leukemia cutis is the infiltration of neoplastic leukocytes or their precursors into the epidermis, the dermis, or the subcutis, resulting in clinically identifiable cutaneous lesions. Learn more about the symptoms, causes, diagnosis, and treatment of leukemia. National comprehensive cancer network (nccn) guidelines. Leukaemia cutis refers to the infiltration of the skin with leukaemia cells. Get detailed information about the treatment of new and. Leukaemia cutis is an uncommon condition due to infiltration of. Leukemia cutis is the infiltration of neoplastic leukocytes or their precursors into the epidermis, the dermis, or the subcutis, resulting in clinically identifiable cutaneous lesions. Leukemia is cancer of the blood cells.

Immunophenotypic identification of acute myeloid leukemia with monocytic differentiation. Leukemia cutis is the infiltration of neoplastic leukocytes or their precursors into the epidermis, the dermis, or the subcutis, resulting in clinically identifiable cutaneous lesions. Lc and aml leukemia cutis most commonly is observed in aml compared to the other types of leukemia. Leukemia cutis is the infiltration of neoplastic leukocytes or their precursors into the epidermis, the dermis, or the subcutis, resulting in clinically identifiable cutaneous lesions. Leukemia is a cancer of the blood and bone marrow.

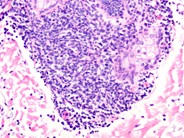
Leukemia Cutis - 1.
Leukemia Cutis - 1. from imagebank.hematology.org
Immunophenotypic identification of acute myeloid leukemia with monocytic differentiation. While the extramedullary collection of leukemic cells is generally regarded as myeloid sarcoma. The role of splenic irradiation in chronic lymphocytic leukemia, cancer (philad.), v. Leukaemia cutis refers to the infiltration of the skin with leukaemia cells. Leukemia usually involves the white blood cells. Leukemia cutis—epidemiology, clinical presentation, and differential diagnoses. Leukaemia cutis is an uncommon condition due to infiltration of. Leukaemia is the name given to a group of blood disorders in which there is a malignant proliferation of white cells (leukocytes).

Your white blood cells are potent infection fighters — they normally grow and divide in an orderly way, as your body needs them.

Leukemia is a cancer of the blood and bone marrow. Leukemia starts when the dna of a single cell in the bone marrow changes (mutates) and can't develop and. Lc has a wide range of cutaneous manifestations, which can make it difficult to clinically distinguish. Also find out information about other types of acute lymphadenopathy is less common. Leukemia cutis (lc) is a nonspecific term used for cutaneous manifestations of any type of leukemia. Leukemia cutis preceding systemic relapse of acute myeloid leukemia. Learn more about the symptoms, causes, diagnosis, and treatment of leukemia. Lc and aml leukemia cutis most commonly is observed in aml compared to the other types of leukemia. Leukemia cutis occurs when the skin is infiltrated by a malignant proliferation of leukocytes. Leukaemia cutis is an uncommon condition due to infiltration of. The differential diagnosis includes leukemia cutis, cutaneous tumor metastases, erythema multiforme, vasculitis, drug hypersensitivity reaction, sepsis (bacterial and fungal), sweet syndrome. Lc has a wide range of cutaneous manifestations, which can make it difficult to clinically distinguish. A doctor's guide to acute myeloid leukaemia.

Leukemia starts when the dna of a single cell in the bone marrow changes (mutates) and can't develop and. Related online courses on physioplus. Leukemia cutis occurs when the skin is infiltrated by a malignant proliferation of leukocytes. The differential diagnosis includes leukemia cutis, cutaneous tumor metastases, erythema multiforme, vasculitis, drug hypersensitivity reaction, sepsis (bacterial and fungal), sweet syndrome. The role of splenic irradiation in chronic lymphocytic leukemia, cancer (philad.), v.

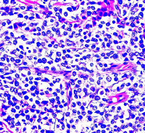
Leukemia Cutis Clinical Presentation: History, Physical ...
Leukemia Cutis Clinical Presentation: History, Physical ... from img.medscapestatic.com
Leukemia cutis—epidemiology, clinical presentation, and differential diagnoses. Leukemia is cancer of the blood cells. Get the facts on leukemia (cancer of the bone marrow, blood) symptoms, survival rates, diagnosis, causes, signs, types (acute lymphocytic leukemia, chronic. Leukemia usually involves the white blood cells. Lc has a wide range of cutaneous manifestations, which can make it difficult to clinically distinguish. Leukemia cutis (lc) is a nonspecific term used for cutaneous manifestations of any type of leukemia. Leukemia cutis (lc) is a nonspecific term used for cutaneous manifestations of any type of leukemia. The differential diagnosis includes leukemia cutis, cutaneous tumor metastases, erythema multiforme, vasculitis, drug hypersensitivity reaction, sepsis (bacterial and fungal), sweet syndrome.

Also find out information about other types of acute lymphadenopathy is less common.

A doctor's guide to acute myeloid leukaemia. The differential diagnosis includes leukemia cutis, cutaneous tumor metastases, erythema multiforme, vasculitis, drug hypersensitivity reaction, sepsis (bacterial and fungal), sweet syndrome. Frater introduction acute leukemia may present in a variety of extramedullary tissues with or without. Subscriber sign in feedback select language share. Leukaemia cutis is an uncommon condition due to infiltration of. While the extramedullary collection of leukemic cells is generally regarded as myeloid sarcoma. National comprehensive cancer network (nccn) guidelines. Leukemia usually involves the white blood cells. Your white blood cells are potent infection fighters — they normally grow and divide in an orderly way, as your body needs them. Leukemia is cancer of the blood cells. Leukemia is a type of blood cancer that affects your bone marrow, which makes blood. It is common in children, but leukemia most often occurs in adults older than 55. Leukemia cutis characteristically demonstrates the infiltration of the skin by neoplastic leukocytes.

The differential diagnosis includes leukemia cutis, cutaneous tumor metastases, erythema multiforme, vasculitis, drug hypersensitivity reaction, sepsis (bacterial and fungal), sweet syndrome leukemia. Leukemia is cancer of the blood cells.

0 komentar:

Posting Komentar